۱۶ آذر ۱۴۰۴
به روز شده در: ۱۶ آذر ۱۴۰۴ - ۲۱:۵۶
فیلم بیشتر »»
کد خبر ۲۹۲۷۲۶
تاریخ انتشار: ۰۸:۳۴ - ۰۴-۰۶-۱۳۹۲
کد ۲۹۲۷۲۶
انتشار: ۰۸:۳۴ - ۰۴-۰۶-۱۳۹۲

چهار انگلی که مغز را هدف می‌گیرند (+عکس)

بیشتر افراد گمان می‌کنند که انگل‌های مغزخوار به افسانه‌های علمی‌تخیلی تعلق دارند، اما متاسفانه Naegleria fowleri تنها میکروارگانیسمی نیست که با پیداکردن فرصت، به مغز انسان حمله می‌کند.

چهار گونه انگل می‌توانند به مغز انسان حمله کنند و موجب بروز تغییراتی عمده در ساختار این عضو حیاتی شوند.

به گزارش ایسنا، چهار میکروارگانیسم وجود دارند که می‌توانند به مغز انسان حمله کنند.

این گزارش به معرفی این انگل‌ها می‌پردازد:

Naegleria fowleri

موجودی به نام Naegleria fowleri بیشتر در دریاچه‌های دارای آب تازه، رودخانه‌ها و جویبارهای داغ وجود دارد و می‌تواند به درون بینی فرد حرکت کرده و از آنجا وارد مغز شود. در آن‌جا این انگل شروع به نابودکردن مغز می‌کند.

در ایالات متحده بین ‌سال های 2001 و 2010، 32 مورد از این دست گزارش شد.

در نتیجه این واقعیت، سازمان بهداشت فلوریدا هشداری را علیه شناکردن افراد در آب پست و گرم ابلاغ کرد.

بیشتر افراد گمان می‌کنند که انگل‌های مغزخوار به افسانه‌های علمی‌تخیلی تعلق دارند، اما متاسفانه Naegleria fowleri تنها میکروارگانیسمی نیست که با پیداکردن فرصت، به مغز انسان حمله می‌کند.

کرم‌های Taenia solium

این کرم‌های بزرگسال که در افریقا، آسیا و امریکای لاتین زیست می‌کنند، می‌توانند در درون دستگاه گوارش انسان زندگی کرده و تخم‌هایی را تولید کنند که انسان میزبان آن‌ها را از طریق مدفوع دفع می‌کند.

تخم‌های مزبور هنگامی که خوک‌ها به دنبال غذا می‌گردند، می‌توانند به طور کامل توسط این حیوانات جاروب شوند.

این لارواها در معده خوک سر از تخم بیرون می‌آورند، راه خود را به درون جریان خون باز می‌کنند و سرانجام به عضلات حیوان می‌رسند.

لاروا احتمالا توسط انسان‌های مصرف‌کننده گوشت خوک‌ خورده می‌شود.

در انسان‌ها، راه این لارواها در مغز خاتمه می‌یابد و این موجودات کیست‌هایی را شکل می‌دهند که موجب بروز بیماری به نام neurocysticercosis می‌شود.

چنین موضوعی می‌تواند موجب ظهور حملات صرع و سردرد شده و سرانجام به مرگ بیانجامد.

انگل Toxoplasma gondii

این ارگانیسم تک‌سلولی می‌تواند فقط در شرایط فراهم‌شده توسط روده‌های گربه تولیدمثل کند.

هنگامی که این موجود موشی را آلوده می‌کند، میزبانش را به طور غیرنرمال به موجود نترسی در مقابل ادرار گربه تبدیل کرده و شانس موش برای خورده‌شدن توسط یک گربه و بازگشت انگل به میزبان بومی‌اش را فراهم می‌کند.

متاسفانه انسان‌ها نیز می‌توانند توسط t. gondii آلوده شوند.

در ایالات متحده از هر چهار بزرگسال، یک نفر به این انگل آلوده شده، اما تعداد کمی از سوژه‌های این ارگانیسم به اندازه کافی بیمار شده‌اند تا متوجه چنین حالتی شوند.

در حال حاضر این نگرانی وجود دارد که انگل‌ زمان‌های واکنش را کند می‌کند و افراد را در معرض خطر دوگانه تصادفات ترافیکی قرار می‌دهد.

همچنین مطالعه‌ای در مرکز JAMA Psychiatry ارتباط بین انگل مزبور و آسیب‌رساندن به خود را در زنان (مانند مثله‌کردن خود) دریافت.

کرم چشم

کرم چشم موجودی نخ‌مانند به نام Loa loa است و هنگامی که در درون بدن انسان می‌خزد، برای استراحت بیش از اندازه به مغز نزدیک می‌شود.

این گونه‌ که در افریقای مرکزی و غربی یافت می‌شود، می‌تواند به مدت 10 تا 15 سال از طریق بافت انسانی منتقل شود.

عفونت از گاز آهو و مگس‌های انبه که نزدیک مناطق جنگلی و باتلاق زندگی می‌کنند، ناشی می‌شود.

داشتن چنین کرمی در بدن می‌تواند منجر به خارش، التهاب، آسیب به سیستم عصبی و شبکیه چشم شود.

به طور متناقضی، استفاده از داروها برای کشتن لاروای Loa loa می‌تواند خطرناک باشد، زیرا هنگامی که تعداد زیادی لاروا در درون و اطراف مغز می‌میرند، مویرگ‌ها را مسدود کرده و موجب بروز انسفالوپاتی می‌شوند.

انسفالوپاتی شرایطی است که منجر به از دست رفتن قوه شناختی، مشکلات حافظه، تغییرات شخصیتی و بسیاری عوارض دیگر می‌شود.



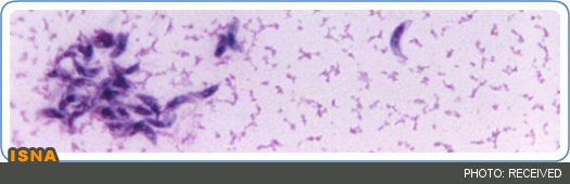
چرخه‌های زندگی انگل Naegleria fowleri



کرم خوک



انگل Toxoplasma gondii



انگل Loa Loa

پربیننده ترین پست همین یک ساعت اخیر
برچسب ها: انگل ، مغز انسان
ارسال به دوستان
میزبانی استقلال از ملوان در شهرقدس قطعی شد؛ درخواست آبی‌ها برای بازی در کرج رد شد نامه‌هایی از ۳۰۰۰سال پیش دیدار پیکان – پرسپولیس بدون تماشاگر شد؛ ماجرای خانه‌به‌دوشی سرخابی‌ها و لغو میزبانی قائمشهر حادثه در پتروشیمی بوشهر درخشش کم‌نظیر الهیار صیادمنش؛ وسترلو با دبل مهاجم ایرانی، اندرلخت را ۴ بر صفر درهم کوبید لیونل مسی متوقف‌شدنی نیست؛ فوق‌ستاره آرژانتینی با ۴۷مین قهرمانی، برای جام جهانی ۲۰۲۶ خط و نشان کشید اعلام نامزدهای برترین آزادکار سال ۲۰۲۵ از سوی اتحادیه جهانی کشتی؛ حضور رحمان عموزاد و امیرحسین زارع از ایران احتمال هم‌تیمی شدن محمد صلاح و رونالدو قوت گرفت  معاون رئیس جمهور: پیکر ۲ شهیده جنگ ۱۲ روزه هنوز شناسایی نشده غیرحضوری شدن همه مدارس گلستان در همه مقاطع در روزهای دوشنبه و سه شنبه وزیر دفاع: ایران تنها کشوری بود که پاسخ دندان‌شکن به رژیم صهیونیستی داد استقبال لس‌آنجلس از میزبانی دو بازی تیم ملی ایران در جام جهانی ۲۰۲۶؛ هیجان برای جمعیت عظیم ایرانیان دولت سودان: حمله نیروهای پشتیبانی سریع به مهد کودک و بیمارستان، «جنایت جنگی» است پورمحمدی: از لاک خود بیرون بیاییم، حصارهایی که دور خود کشیده‌ایم را برداریم/ باید بفهمیم چرا برخی جوانان با ما مسئله دارند ورود عراقچی به باکو
نظرسنجی
با توجه به مشخص شدن رقبای ایران در مرحله نخست جام جهانی فوتبال، به نظر شما تیم ملی می تواند به مرحله بعدی صعود کند؟