۰۹ بهمن ۱۴۰۴
به روز شده در: ۰۹ بهمن ۱۴۰۴ - ۰۰:۰۰
فیلم بیشتر »»
کد ۴۴۱۴۹۵
انتشار: ۰۱:۴۸ - ۱۴-۱۰-۱۳۹۴

تصاویر جذاب 2015 در قاب علم و فناوری

صراط - رخدادهای برتر سال 2015 در قاب تصاویراین بار شاتر دوربین عکاسی به سراغ منتخبی از بهترین تصاویر جهان در حوزه‌ی علم و فناوری رفته است.

چشمان عنکبوتی:این تصویر بزرگنمایی شده از چشمان متعدد عنکبوت تهیه شده، تصویری که جدا از بحث زیبایی کمی هم ترسناک باشد.

تصاویر جذاب 2015 در قاب علم و فناوری


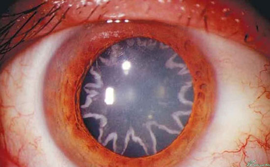
آب مروارید ستاره‌ای شکل: این عکس از چشم برقکاری 47 ساله گرفته شده که بعد از برق گرفتگی و شوک حاصل از آن، گرفتار این آب مروارید ستاره‌ای در یکی از چشمان خود شده است.

تصاویر جذاب 2015 در قاب علم و فناوری


سائورون از آسمان: پروژه‌ی سرزمین میانه توسط یک گروه از برنامه نویسان دانمارکی و با الهام از نوشته‌های تالکین اجرا شده است. این پروژه را می‌توان یکی از عجیب‌ترین برنامه‌های سال‌های اخیر دانست. طی این برنامه سعی شده با کمک مدل‌سازی کامپیوتری، جغرافیای سرزمین میانه را بازسازی کنند.

تصاویر جذاب 2015 در قاب علم و فناوری


مارپیچ‌های درخشان: "Spiral Top"، وسیله‌ای است شبیه به فرفره که با سرعت زیادی به دور خود می‌چرخد، به واسطه‌ی این چرخش سریع در فضا و استفاده از لامپ‌های LED، این دنباله‌های درخشان رنگی در فضا ایجاد می‌شوند. فضانورد کویچی واکاتا (Koichi Wakata) به تازگی تصاویری از این آثار جالب توجه را منتشر کرده است.

تصاویر جذاب 2015 در قاب علم و فناوری


انسان‌هایی از جنس آی‌پد: این هم از نمونه‌های جدید استفاده از فناوری است. شاید باید با دقت بیشتری به انسان‌هایی که در کوچه و خیابان از کنارمان عبور می‌کنند نگاه کنیم، شاید چهره‌های آنها نیز محصولاتی از دنیای دیجیتال باشند.

تصاویر جذاب 2015 در قاب علم و فناوری


رقص مانتیس‌ها: شاید مانتیس‌ها را بتوان از گونه‌های جالب و بانمک دنیای حشرات به شمار آورد، کافی است به این صحنه‌ی بامزه نگاه کنید، نمادی از پایکوبی به شیوه مانتیسی.

تصاویر جذاب 2015 در قاب علم و فناوری


تانک فضایی: این تانک فضایی در واقع برای جابجایی سیستم پروازی جدید ناسا (System Launch Space) موسوم به "SLS" به سکوی پرتاب مورد استفاده قرار خواهد گرفت.

تصاویر جذاب 2015 در قاب علم و فناوری
پربیننده ترین پست همین یک ساعت اخیر
ارسال به دوستان